Crazaaay! This Is What You Look Like When You Have Sex
NSFW, even if you work in the medical field.
YouTubeHere's something you don't see every day!
Voxhas released a video compilation of what it looks like when a couple has sex and when a woman gives birth, all through the lens of an MRI machine.
It's scientific, medically pornographic, and kind of creepy at the same time. It's like watching skeletons go at it.
Check out these shots from the video, so you can get used to see how things look from the perspective of an MRI.
1. Somebody has to make the first move.

MRI, or Magnetic Resonance Imaging, has been around since the 1980s, but recent improvements in resolution and computing have made it possible to makes videos from the scans, and even provide technicians with detailed real-time moving images.
2. Let the French kissing commence.

Ida Sabelis, a Dutch anthropologist and one of the subjects of the study said, "On a certain moment there's sounding through the microphone. The erection is fully visible, including the root."
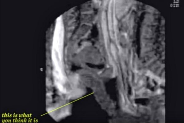
3. No, your eyes aren't deceiving you.

Yep, put that on your list of "things I never thought I'd see, and probably never want to see again."
4. When a man and a woman love each other, they sometimes make a baby.

The MRI machine also captured a baby in utero. It's pretty amazing how much detail you can see on the baby — fingers, toes, eyes, and brain.
5. And sometimes, they're extra lucky and make two babies at once.

What's better than one baby? Two, of course! And you can already see who the bossy twin will be.
6. Nine months later and out comes a baby.

All photos: YouTube
Since MRI machines are very loud, they stopped the video of the live birth when the baby's head emerged, since they didn't want the noise to damage the baby's hearing.
If the sight of the inner workings of the body fascinate you, here's the complete MRI video:
The continuation of life has never looked so deathly.

